HexaDent Imaging Centre brings advanced dental and head-neck imaging to Saurashtra — combining precision technology with a vision to elevate diagnostics and redefine care in the region.
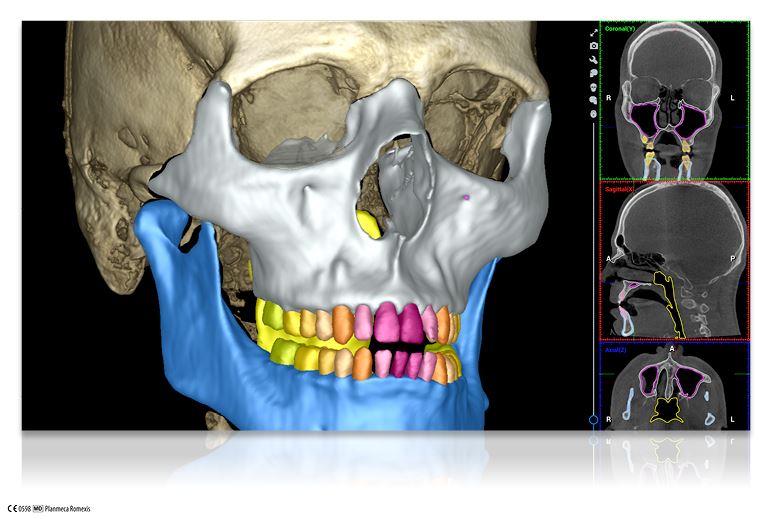
The Planmeca ProMax 3D Plus stands out among CBCT systems by combining an extended field of view with exceptionally sharp, low-dose imaging that many conventional units simply can’t match. Its advanced motion-correction, ultra-fine resolution, and flexible volume options allow clear visualization of the entire maxillofacial and head-neck region — enabling more confident diagnosis and more precise surgical planning. With smoother workflow, superior image consistency, and a stronger emphasis on patient safety, it raises the standard beyond what typical CBCT machines deliver.


